前言:根據世界衛生組織的數據,全世界每年有25萬~50萬人因外傷等原因,而遭受脊髓損傷,而且現有的對癥治療手段療效較為有限。
隨著干細胞療法的不斷發展,各國科學家相繼投入到攻克脊髓損傷的研究之中,并且初見成效。2018年,日本厚生勞動省更是批準了自體間充質干細胞治療產品(Stemirac)的上市,用以治療脊髓損傷,并被納入了國民健康保險,為脊髓損傷患者的康復之路,帶來了全新的曙光。
鞘內遞送間充質干細胞治療創傷性脊髓損傷:I期試驗
近期,國際《自然》科學期刊子刊《nature communications》發表了一篇《鞘內遞送脂肪間充質干細胞治療創傷性脊髓損傷:I 期試驗》文獻綜述,綜述表明自體培養擴增的脂肪組織間充質干細胞(AD-MSC)可用于治療創傷性脊髓損傷(SCI)。這項I期試驗(ClinicalTrials.gov:NCT03308565)納入了10名受傷時美國脊髓損傷協會損傷量表(AIS)A級或B級的患者。

研究的主要結果是安全性,即不良事件的性質和頻率。次要結果包括感覺和運動評分、成像、腦脊液標記物和體感誘發電位的變化。所有患者的治療方案的制造和實施都很成功。最常報告的不良反應是頭痛和肌肉骨骼疼痛,有8名患者出現這種情況。沒有發現嚴重的不良反應。在最后的隨訪中,7名患者的 AIS等級比注射時有所改善。總之,該研究達到了主要終點,表明間充質干細胞治療創傷性脊髓損傷患者改善具有一定效果且耐受性良好。
介紹
脊髓損傷 (SCI) 是一種使人衰弱的疾病,會給那些有殘余損傷的人帶來嚴重的醫療、心理和經濟影響。截至 2016年,美國有超過290,000人患有SCI,每年新增病例17,000例。目前對亞急性和慢性脊髓損傷患者可用的干預措施僅限于癥狀管理和身體康復。這反映了損傷脊髓中發生的SCI病理生理學的復雜性。然而,人們對再生醫學在脊髓損傷中的應用越來越感興趣。干細胞療法是再生醫學應用的一個主要例子,其中這些細胞之間的相互作用促進了脊髓損傷后潛在的再生環境。

脂肪組織是間充質干細胞最重要的儲存庫,稱為脂肪源性間充質干細胞(AD-MSC)。脂肪來源的間充質干細胞因其可用性、易于獲取和多能性而被認為是有吸引力的選擇。AD-MSC在創傷性和退行性疾病中的應用已得到徹底研究。SCI動物模型的臨床前試驗發現證據表明AD-MSC可以調節炎癥反應并促進再生環境,這與有希望的臨床結果相關。
此前,我們曾報道過一例SCI患者接受鞘內AD-MSC治療的病例報告;經過一段神經系統平臺期后,患者表現出明顯的運動和感覺改善。該患者正在參加CELLTOP(自體脂肪來源的間充質干細胞治療創傷性脊髓損傷引起的癱瘓的臨床試驗;ClinicalTrials.gov標識符:NCT03308565),這是一項研究安全性、可行性和生物學特性的I期臨床試驗。 AD-MSC注射對10名創傷性SCI患者的影響。
在此,我們介紹了所有10名入組患者并隨訪96周的CELLTOP試驗的結果。我們展示了自體AD-MSC采集和鞘內給藥在脊髓損傷中的安全性。研究期間,沒有報告嚴重不良事件,7名患者的運動和/或感覺得到改善。
方法
標準方案批準–注冊–患者同意
這項 I 期單臂、前瞻性、開放標簽研究評估了SCI患者鞘內自體AD-MSC療法的使用,經美國食品和藥物管理局審查并允許繼續進行(ClinicalTrials.gov 標識符:NCT03308565)和梅奧診所機構審查委員會(IRB 號 17-004621)。該臨床試驗于2017年6月開始,于2021年10月完成。第一位患者于2017年11月入組,最后一位患者于2019年8月入組。在研究入組前獲得了每位參與者的書面知情同意書。本研究中的一名參與者的數據先前已作為病例報告發表。參與者沒有因其參與而獲得報酬。
選擇標準
如果患者年滿18歲,并且在研究入組前12個月內遭受過創傷性、鈍器性、非穿透性和非退行性損傷,則被認為符合資格。考慮受傷時AIS等級為A或B以及受傷后12個月內有或沒有后續改善的患者。研究設計沒有考慮性別和性別,因為預計性別的變化不會影響鞘內注射干細胞的安全性。要入選,納入的患者必須充分了解研究要求并遵守治療計劃。完整的選擇標準可在ClinicalTrials.gov上獲取(標識符:NCT03308565)。
研究設計
共篩選出14名創傷性SCI患者,其中10名患者入選并注射了AD-間充質干細胞(圖4)。4名患者入選失敗的原因包括非創傷性損傷病因、不符合納入標準以及未獲同意。患者首先進行脂肪采集,然后進行AD-MSC分離和擴增。這些干細胞被擴增到1億個細胞的劑量,并在透視引導下注射到腰椎部位。本研究采用的劑量方案參考了之前的I期劑量遞增試驗,該試驗研究了肌萎縮性脊髓側索硬化癥(ALS)鞘內注射AD-MSC的安全性。
參考試驗使用的細胞產品與我們當前研究中正在評估的細胞產品相同。該試驗顯示,單劑量1億個細胞的最高劑量具有良好的安全性。本研究是作為單劑量 I 期試驗進行的,對所有十名患者進行了密切跟蹤,以了解是否發生任何不良事件(AEs)。所有患者均在篩查(注射前)、基線(注射)和所有隨訪中接受了評估。隨訪安排在第2天、第3天、第1周、第2周、第 6 周、第12周、第 24 周、第 48 周和第 96 周(圖 5)。所有參與者在注射后都接受了為期兩年的隨訪。


AD-MSC采集、制備和注射
在患者被認為有資格參加研究并同意參與后,就開始按計劃進行脂肪采集。患者通過腹部或大腿的一個小手術切口(1-2 英寸)接受脂肪活檢,從皮下取出約15mL的脂肪組織。該程序由經過認證的注冊護士執行。在切口前對患者進行局部麻醉,并在收獲后用縫合線縫合傷口。如先前文獻中所述,對提取的脂肪組織進行處理以進行AD-MSC分離和培養擴增至1億個細胞。
細胞注射后,患者每隔15分鐘左右側轉體一次,持續2小時,以最大限度地使細胞均勻分布在CSF中。脂肪采集、脂肪間充質干細胞分離、培養和注射過程如圖6所示。

結果
干細胞治療脊髓損傷的安全性和不良事件
10名患者中總共報告了44項AE,其中17項 (37%) 被認為可能與研究藥物有關。在這44種AE中,26種被認為是早期AE,而16種被認為是晚期AE。十名患者中有八名在早期隨訪期間出現頭痛,而十名患者中有九名出現肌肉骨骼癥狀,包括背痛(兩名患者)、一般髖部疼痛(三名患者)、尾骨疼痛或酸痛(三名患者)和腿部疼痛疼痛(一名患者)。十名患者中有六名使用了非處方藥,完全緩解了他們的癥狀。研究期間未觀察到嚴重的AE。表2描述了10名患者的完整安全概況。
| 病人 # | 早期不良事件 | 評論 | 晚期不良事件 | 評論 |
|---|---|---|---|---|
| 病人1 | 頭痛、尾骨疼痛、視力模糊 | 通過OTC解決 | 足跟痛、手腳麻木、足部皮膚病變、疲勞、痙攣、胸部神經性疼痛 | 解決 |
| 病人2 | 頭痛、感冒樣充血、發燒、腰痛 | 通過OTC解決 | 皮膚破裂愈合、抑郁 | 解決 |
| 病人3 | 頭痛、尾骨痛、胃痛 | 通過OTC解決 | 皮膚破裂愈合、抑郁 | 解決 |
| 病人4 | 頭痛、全身髖部疼痛 | 解決 | 不適用 | 解決 |
| 病人5 | 劇烈的背痛、頭暈、臀部疼痛 | 通過 OTC 解決 | MRI 感覺溫熱感,左側臀部病變,左側臀部疼痛 | 用曲馬多解決 |
| 病人6 | 腳痛 | 解決 | 髖部骨折(從椅子上摔下來) | 與學習無關 |
| 病人7 | 頭痛、雙側臀部和腿部疼痛 | 解決 | 雙腿腰部以下出汗 | 解決 |
| 病人8 | 低燒、手臂疼痛、頭痛 | 通過 OTC 解決 | 雙側小腿痙攣 | 解決 |
| 病人9 | 頭痛、尾骨酸痛、發緊 | 解決 | 左側第五 MCP 尺側皮膚破損 | 解決 |
| 10號病人 | 頭痛和反射障礙 | 通過 OTC 解決 | 上背部壓力損傷 | 解決 |

| 病人 # | MRI預注射 | 一年后 MRI | 評論 |
|---|---|---|---|
| 病人1 | C3處頸髓局灶性損傷,低于該水平的頸髓和胸髓T2信號彌漫性增加。 | 與上次檢查相比無明顯變化 | 不適用 |
| 病人2 | T11和T12水平的胸脊髓骨髓軟化 | 與上次檢查相比無明顯變化 | 不適用 |
| 病人3 | 頸髓內C6-7水平的局灶性T2高信號與創傷后骨髓軟化一致。 | 與上次檢查相比無明顯變化 | L4-L5 水平的馬尾神經根聚集輕度增加。 |
| 病人4 | 中央脊髓信號異常,從T11延伸到T12-L1的髓圓錐。更多的模棱兩可的中樞T2信號異常也延伸至顱骨至 T6-T7。 | 與上次檢查相比無明顯變化 | 腰神經根聚集/增厚。 |
| 病人5 | 下胸髓囊性骨髓軟化癥。 | 與上次檢查相比無明顯變化 | 馬尾根部聚集,無結節強化證據 |
| 病人6 | 脊髓信號異常與骨髓軟化一致,從 C4-5 延伸至 C7,Sag IR 序列上有細微的脊髓信號異常,向下延伸至 T2。 | 與上次檢查相比無明顯變化 | 馬尾神經根增厚、結塊和輕微強化。 |
| 病人7 | 背索輕度 T2 信號異常,可能與華勒變性有關。 | 與上次檢查相比無明顯變化 | 沿著L2、L3和死胡同的馬尾出現新的結節。下神經根新突出的證據。 |
| 病人8 | 從C5延伸到 C7 中段的頸脊髓存在嚴重的骨髓軟化。鞘內有不規則強化這涉及脊髓,最突出的是C6 水平。 | 與上次檢查相比無明顯變化 | 馬尾神經根的節段增強以及遠端脊髓的軟腦膜增強的間隔增加,從頭側延伸到至少大約中胸水平。 |
| 病人9 | 脊髓內C5-C6間隙水平的非增強T2高信號變化與先前創傷后遺癥一致。 | 與上次檢查相比無明顯變化 | 馬尾神經根新的聚集和周圍移位,輕度增強。 |
| 10號病人 | 頸脊髓明顯的骨髓軟化,從 C4 下體延伸到 C7 中體,在 C5 水平脊髓明顯腹側扭結。 | 與上次檢查相比無明顯變化 | 信號異常及沿著L3處的馬尾神經根聚集。 |
| 病人 # | 基線SSEP | 注射后第一次SSEP | 注射后最終SSEP | 整體解讀 |
|---|---|---|---|---|
| 病人1 | UE SSEP:雙側絕對頭皮延遲延長。所有雙側峰間潛伏期均延長。 LE SSEP:雙側絕對頭皮潛伏期延長。 雙側腰椎到頭皮和左側頸椎到頭皮的峰間潛伏期延長。 | 5個月時進行: UE SSEP:雙側絕對頭皮延遲延長。雙側頸椎到頭皮和鎖骨到頭皮的峰間潛伏期延長。 LE SSEP:雙側絕對頭皮潛伏期延長。雙側腰椎至頭皮峰間潛伏期延長。 | 在18個月時進行: UESSEP:雙側頭皮絕對潛伏期和左側頸椎絕對潛伏期延長。雙側鎖骨至頭皮和左側鎖骨至頸椎峰間潛伏期延長。 LESSEP:左側絕對頭皮潛伏期延長。左側腰椎至頭皮峰間潛伏期延長。 | 主要是右下肢 SSEP 輕度改善。 |
| 病人2 | UE SSEP:左中位電位和潛伏期正常。未執行右中位SSEP。 LE SSEP:左頸椎和頭皮電位缺失。正常左絕對腰椎電位和潛伏期。未執行右脛骨SSEP。 | 9個月時進行: UE SSEP:未進行。 LE SSEP:左頸椎和頭皮電位缺失。正常左絕對腰椎電位和潛伏期。右側沒有任何反應。 | 19個月時進行: UESSEP:未進行。 LESSEP:沒有可重現的外周或中心電位。 | 沒有可靠的解釋。 |
| 病人3 | UE SSEP:雙側鎖骨到頭皮和鎖骨到宮頸的峰間潛伏期延長。 LE SSEP:正常。 | 5個月時進行: UE SSEP:正常。 LE SSEP:正常。 | 17個月時進行: UE SSEP:正常。 LE SSEP:正常。 | UE SSEP在5個月時從基線異常改善至正常。 |
| 病人4 | UE SSEP:正常。 LE SSEP:正常。 | 5個月時進行: UE SSEP:正常。 LE SSEP:正常。 | 15個月時進行: UE SSEP:未執行。 LE SSEP:正常。 | 全程正常。 |
| 病人5 | UE SSEP:未執行。 LE SSEP:雙側絕對頭皮電位輕度延長。左側腰椎至頭皮峰間潛伏期延長。 | 5個月時進行: UE SSEP:未進行。 LE SSEP:未獲得可靠信息。 | 17個月時進行: UE SSEP:未進行。 LE SSEP:雙側絕對腰椎電位正常。沒有獲得其他可靠信息。 | 沒有可靠的解釋。 |
| 病人6 | UE SSEP:右鎖骨到頸部和左鎖骨到頭皮的峰間潛伏期輕度延長。LE SSEP:雙側腰椎電位正常。正常左頸絕對潛伏期和腰椎至頸椎峰間潛伏期。沒有獲得其他可靠信息。 | 5個月時進行: UE SSEP:左鎖骨至頭皮峰間潛伏期延長。正常右側絕對潛伏期和峰間潛伏期。 LE SSEP:正常左頸椎和雙側腰椎絕對潛伏期。正常腰椎至頸椎峰間潛伏期。沒有獲得其他可靠信息。 | 17個月時進行: UE SSEP:左鎖骨至頭皮峰間潛伏期延長。正常右側絕對潛伏期和峰間潛伏期。 LE SSEP:雙側腰椎電位正常。沒有獲得其他可靠信息。 | 與基線相比沒有顯著變化。 |
| 病人7 | UE SSEP:正常。 LE SSEP:未獲得可靠信息。 | 7個月時進行: UE SSEP:未進行。 LE SSEP:正常雙側腰椎絕對潛伏期。沒有獲得其他可靠信息。 | 17個月時進行: UE SSEP:未進行。 LE SSEP:正常雙側絕對腰椎潛伏期。右側絕對頭皮和腰椎至頭皮峰間潛伏期延長。 | 沒有可靠的解釋。 |
| 病人8 | UE SSEP:左側頸椎和頭皮絕對潛伏期延長。所有峰間潛伏期均延長。右鎖骨至頭皮峰間潛伏期延長。 LE SSEP:未獲得可靠信息。 | 11個月時進行: UE SSEP:雙側鎖骨到頸部和鎖骨到頭皮的峰間潛伏期延長。 LE SSEP:未獲得可靠信息。 | 16個月時進行: UE SSEP:雙側鎖骨到頭皮峰間潛伏期延長。右鎖骨至頸部峰間潛伏期延長。 LE SSEP:正常的左頸椎和右腰椎絕對潛伏期。沒有獲得其他可靠信息。 | 與基線相比沒有變化。 |
| 病人9 | UE SSEP:雙側鎖骨到頭皮和右鎖骨到宮頸的峰間潛伏期延長。 LE SSEP:雙側腰椎至頭皮峰間潛伏期延長。 | 7個月時進行: UE SSEP:正常。 LE SSEP:左側絕對頭皮潛伏期正常。沒有獲得其他可靠信息。 | 15個月時進行: UE SSEP:正常。 LE SSEP:正常雙側絕對頭皮潛伏期。沒有獲得其他可靠信息。 | 解決上肢中心電位延長。對于下肢沒有可靠的解釋。 |
| 10號病人 | UE SSEP:正常右鎖骨絕對潛伏期。未獲得其他可靠信息 LE SSEP:未獲得可靠信息。 | 不適用 | 不適用 | 沒有可靠的解釋。 |
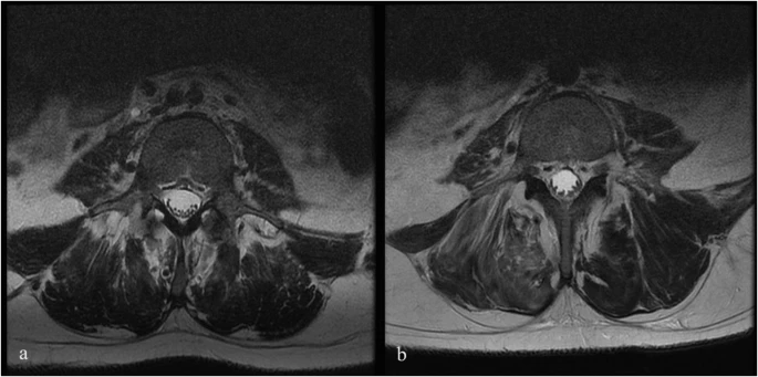
注射后血液和腦脊液檢查未發現異常。隨訪時MRI未見明顯變化;然而,在十名患者中,有八名檢測到馬尾神經根的叢集輕度增加,有或沒有結節性增強的證據。在經歷馬尾神經根聚集或強化的患者中,沒有發現明顯的臨床相關性。圖1顯示了患者6的輸注前和隨訪MRI,該患者L4-S1水平的馬尾神經根叢集輕度增加。表3突出顯示了所有患者干細胞注射前后的MRI變化。三名患者的SSEP有所改善。兩名患者與基線相比沒有任何變化,四名患者無法進行解釋,一名患者在整個研究期間具有正常的SSEP。表4突出顯示了SSEP 的發現和解釋。
總體而言,當有足夠的數據進行解釋時,SSEP的結果與患者的臨床評估相關。在這方面,患者3和患者4值得特別注意。 4號患者受傷時為AIS級,在整個研究期間表現出正常的SSEP。基線SSEP是在注射前進行的,當時患者4在評估時為AISC級,這與正常SSEP結果一致。對于3號患者,根據他們的基線臨床檢查,輕觸受到的影響不如針刺那么嚴重。此外,該患者的AIS等級B是由于損傷水平以下的運動功能完全喪失所致。考慮到SSEP主要評估背柱功能,介導輕觸覺(而針刺主要通過脊髓丘腦束轉移),SSEP結果與ISNCSCI檢查和隨訪中看到的變化一致。
AIS分級
在整個研究期間,每位患者接受了十次體檢。在我們的隊列中,十分之七的患者表現出自注射后AIS等級有所改善。圖2突出顯示了受傷、入組、注射和隨訪時AIS等級的變化。5名患者在注射時被分類為AISA。其中,兩名患者在最后一次隨訪時仍為AISA,三名患者在第96周時從AISA更改為B(兩名患者)并更改為 AIS C(一名患者)。五名患者中的四名被分類為AISB或注射時的C表明AIS等級有所改善。表1包含每位患者 AIS 變化的基礎 。此外,七名患者的運動和感覺功能至少在一個水平上有所改善,而兩名患者的感覺至少在一個水平上有所改善。
腦脊液參數
在基線和注射后兩周進行腰椎穿刺。基線時腦脊液蛋白的中位數為45mg/dL (IQR=56),隨訪時為46.5mg/dL (IQR=38.5)。腦脊液有核細胞的中位數在基線時為2個細胞/uL (IQR=3),在注射后兩周為9.5個細胞/uL (IQR=30.25)。腦脊液葡萄糖從基線時的中位數52mg/dL (IQR=4) 下降至中位數46.5mg/dL (IQR=8.5)。使用細胞因子面板1,在AD-MSC注射前后,GM-CSF、IL-16,17,1 A、5,7和TNF-β均低于CSF的檢測限。在該隊列中,10名患者中有6名的VEGF水平無法檢測到(定義為 VEGF < 15.4 pg/ml),隨后在注射后增加到可檢測的閾值。總體而言,9名具有可用測量值的患者中有7名在注射AD-MSC后表現出VEGF水平升高。這些變化如圖3所示。

討論
該I期臨床試驗證明了鞘內注射培養擴增的1×108個自體AD-MSC細胞對于創傷性SCI患者的安全性。干細胞已成功制造,產品已交付給所有入組患者。在整個研究期間沒有發生嚴重不良事件,盡管非嚴重不良事件并不少見。根據AIS損傷等級評估,幾名患者表現出感覺和運動改善。
目前,臨床前研究產生的大量證據表明MSC可能會調節涉及內源性神經發生、血管生成、免疫調節和神經元可塑性的各種途徑。與其他成體干細胞相比,AD-MSC特別具有優勢,因為它們具有血管生成和神經再生能力,此外還具有多能性、易于收獲和可用性。在本研究中,雖然確實發生了非嚴重的AE,但在AD-MSC注射期間和注射后沒有記錄到嚴重的AE。這些結果與一項早期人體試驗一致,該試驗調查了SCI患者鞘內注射AD-MSC的安全性,其中14名接受治療的患者沒有發生嚴重的AE。在那項研究中,五名患者的上肢或下肢運動能力得到改善。 Staff 等人之前進行的一項針對肌萎縮側索硬化癥 (ALS) 的研究也證實了該安全性。
2016。與我們的研究相反,Staff等人涉及劑量遞增方案,范圍從1×10^7(單劑量)到1×10^8個細胞(2 個月劑量)。盡管如此,自體AD-MSC的鞘內治療也被認為是安全的。與ALS、多發性硬化癥和其他神經退行性疾病相關的其他研究也得出了類似的結論。
結論
這項I期臨床試驗 (CELLTOP) 研究了鞘內注射脂肪間充質干細胞治療10名創傷性脊髓損傷患者的安全性。總體而言,在整個研究期間沒有報告嚴重不良事件。在最后一次隨訪中,與注射前的狀態相比,十名患者中有七名的AIS等級有所改善。 AD-MSC注射目前的安全性值得進一步研究對患者神經系統結果的影響。
參考資料:Bydon, M., Qu, W., Moinuddin, F.M. et al. Intrathecal delivery of adipose-derived mesenchymal stem cells in traumatic spinal cord injury: Phase I trial. Nat Commun 15, 2201 (2024). https://doi.org/10.1038/s41467-024-46259-y
免責說明:本文僅用于傳播科普知識,分享行業觀點,不構成任何臨床診斷建議!杭吉干細胞所發布的信息不能替代醫生或藥劑師的專業建議。如有版權等疑問,請及時跟本公眾號聯系,我們將在第一時間處理。
掃碼添加官方微信