肺纖維化疾病背景與治療困境:肺纖維化以進行性肺間質瘢痕化為特征,其核心病理機制為免疫細胞異常活化(巨噬細胞、T細胞)→慢性炎癥級聯反應→成纖維細胞過度活化→細胞外基質(膠原、纖連蛋白)病理性沉積→肺泡結構破壞及呼吸衰竭。現有藥物(如吡非尼酮、尼達尼布)僅能延緩進展,無法逆轉纖維化或促進組織再生,亟需創新療法突破治療瓶頸。

近年來,人臍帶間充質干細胞 (UCMSC) 已被廣泛用于治療不同的慢性疾病,包括肺纖維化。研究表明UCMSC在多種炎癥性疾病中的主要作用是調節免疫系統。我們之前的研究證實USMSC在治療肺損傷方面保留了優越的抗纖維化能力。
近期,清華大學精準醫學研究院與解放軍總醫院第一醫學中心聯合海南醫學院第一附屬醫院呼吸科、首都醫科大學生物醫學工程學院等機構團隊在國際權威期刊雜志《nature》子刊《signal transduction and targeted therapy》上發表了一項關于“霧化吸入人臍帶間充質干細胞來源的細胞外囊泡治療肺纖維化的臨床研究”的成果[1]。

研究結果表明:所有受試者均對霧化hUCMSC-EVs耐受良好,未發生嚴重不良事件。接受霧化hUCMSC-EVs和常規治療聯合治療的患者的肺功能指標(用力肺活量和最大自主通氣量)和呼吸健康狀況(通過圣喬治呼吸問卷和萊斯特咳嗽問卷測量)均得到顯著改善。
依據科學闡述,此次選用的細胞新藥并非干細胞注射,而是霧化外泌體
選用霧化人臍帶間充質干細胞來源外泌體(hUCMSC-EVs),而非干細胞注射,核心原因在于:
- 科學依據:EVs被認為是MSCs發揮治療作用的關鍵介質,直接使用EVs可模擬其療效。
- 核心優勢:EVs具有顯著的實用性優勢(易制備、儲存、運輸) 和關鍵的安全性優勢(極大降低肺栓塞風險)。
- 規避風險:避免了使用活細胞本身帶來的潛在風險(如栓塞、免疫排斥、異常分化等)。
- 靶向給藥:霧化吸入方式為肺部疾病提供了直接、靶向的治療途徑。
因此,基于對MSC作用機制的理解以及對安全性、操作便利性和靶向性的綜合考慮,選用霧化外泌體方案比直接注射干細胞更具優勢。

hUCMSC-EVs如何制備?和hUCMSC-EVs特性是什么?
hUCMSC-EVs的制備流程
為確保外泌體(EVs)的可靠性、安全性和生產穩定性,制備過程嚴格遵循工業化標準:
- 建立工作細胞庫(Working Cell Bank):使用人臍帶間充質干細胞(hUCMSC)作為來源細胞。預先建立標準化的細胞庫系統,確保細胞來源一致且可追溯,為規模化生產提供基礎。
- 工業化流程與GMP標準:開發了標準化的 工業化生產流程(圖1a所示),在所有生產階段(從細胞培養到EVs純化)均嚴格遵守 良好生產規范(GMP) 要求,確保全過程的可控性、可重復性及無污染風險。
- 質量控制與驗證:通過電子顯微鏡(圖1d)和Western blot(圖1i-l)對比霧化前后的EVs,確認 霧化過程未改變EVs的形態和蛋白標志物含量,證明其適用于吸入給藥。

hUCMSC-EVs的核心特性
通過多維度技術表征,確認其符合國際公認的外泌體標準:
物理特性
- 尺寸分布:納米粒子跟蹤分析(NTA)顯示粒徑范圍為50–400nm(圖1b),符合典型外泌體尺寸(30–200nm,部分可略大)。
- 形態特征:透射電鏡(TEM)觀察顯示典型的 茶托樣(cup-shaped)膜結構(圖1c),且霧化后形態未變(圖1d)。
分子標志物
- 陽性標志物:富集外泌體特異性跨膜蛋白CD9、CD63、CD81(圖1e-h),符合國際細胞外囊泡學會(ISEV)定義的外泌體標志。
- 陰性標志物:未富集CANX(Calnexin)——一種內質網蛋白,其缺失可排除細胞碎片污染(圖1e-h)。
功能穩定性
- 霧化耐受性:Western blot證實霧化前后外泌體標志蛋白總量無差異(圖1i-l),表明其能耐受霧化過程,保持結構完整性。
- 生產一致性:通過GMP流程和工業化生產體系,確保批次間的一致性和高純度。
霧化hUCMSC-EVs對預防小鼠損傷性肺纖維化的安全性和有效性的初步嘗試
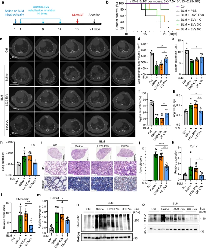
為了評估霧化hUCMSC-EVs治療肺纖維化的安全性和有效性,我們對小鼠進行了臨床前研究。對博來霉素(BLM)誘導(2.5mg/Kg)的C57BL/6小鼠在兩周內給予不同劑量(2.5×107、7.5×107和2.25×108顆粒)的霧化hUCMSC-EV,共14次,然后在第18天進行顯微CT掃描(圖2a)。

結果表明:通過霧化給藥時,hUCMSC-EVs主要在小鼠肺中積聚并改善了博來霉素誘導的肺纖維化,存活率提高(從20%到80%),肺容量恢復,損傷嚴重程度減輕,同時氧合血紅蛋白飽和度升高,肺功能評估改善。
hUCMSC-EVs在小鼠肺纖維化治療中的作用
為了研究hUCMSC-EVs是否可以減輕纖維化過程,我們治療了BLM誘導的纖維化小鼠,涵蓋增生期和纖維化期。
結果表明:用hUCMSC-EVs治療的小鼠纖維化顯著減少(圖3b,藍色框)。值得注意的是,使用hUCMSC-EVs治療后,不同肺部區域(包括基底、中部和頂端部分)的纖維化病變均顯著減少,這一趨勢在實驗重復中始終得到觀察到(圖3b)。

三維重建顯示,雖然PBS治療組的肺體積進一步減少,但MSC-EV治療組的肺體積顯著增加(圖3c)。這些結果表明,霧化hUCMSC-EVs可有效減緩小鼠BLM誘導的肺纖維化的進展。
干細胞外囊泡治療肺纖維化的具體作用機制是什么?
hUCMSC-EVs通過miRNA-486-5p介導的巨噬細胞重編程發揮核心作用:上調miRNA-486-5p(圖3d),驅動肺泡巨噬細胞向M2修復表型極化(CD206?比例從35%升至70%,圖3e-g);
調控纖維化相關基因:
- 上調抗纖維化因子:IL-10(抑制炎癥,圖3i),MMP13(降解膠原,促進基質重塑,圖3j),HGF(驅動肺泡上皮修復,圖3k);
- 下調促纖維化因子:SPP1(骨橋蛋白,促進膠原沉積,圖3l)。
這一基因級聯反應最終阻斷纖維化進程,實現肺組織修復。
機制本質:hUCMSC-EVs通過 miRNA-486-5p→巨噬細胞M2極化→抗纖維化基因表達三重作用,重塑肺免疫微環境,逆轉纖維化病理損傷。
干細胞外囊泡治療肺纖維化人體臨床試驗:安全性與療效驗證(ChiCTR2300075466)
試驗設計與受試者篩選:為評估霧化人臍帶間充質干細胞外泌體(hUCMSC-EVs)對肺纖維化患者的安全性,研究團隊于2023年4月20日至2025年5月2日開展了一項單盲隨機對照臨床試驗(注冊號:ChiCTR2300075466)。
經嚴格篩選后,24例經高分辨率CT(HRCT)確診的肺纖維化患者納入研究,其中12例接受”常規治療+霧化hUCMSC-EVs”(實驗組),另12例接受”常規治療+生理鹽水霧化”(對照組)。兩組患者的基線特征無顯著差異(表1),且全程維持原治療方案,確保結果可比性。

干預方案與安全性監測:實驗組霧化液為6ml生理鹽水混合2×10?顆粒hUCMSC-EVs(對照組僅用生理鹽水),通過網狀霧化器(顆粒直徑<5μm)每日兩次(09:00±30分鐘、20:00±30分鐘)連續給藥7天。安全性評估涵蓋第1、8、28、84天的面對面隨訪及第180、360天的電話隨訪(圖4a),全程監測不良事件與生命指標。研究通過標準化霧化流程、嚴格劑量控制及長達1年的追蹤,系統評估該療法的臨床安全性。

干細胞外囊泡治療肺纖維化的安全性結果
短期安全性驗證:首要安全性評估顯示,所有患者對治療耐受良好,全程未出現顯著異常。關鍵生命體征(體溫、血氧飽和度)及心臟功能(心電圖監測)均保持正常范圍,無過敏性皮膚反應、心律失常或ST-T段異常。
血清學檢測進一步證實:治療第8天對比第0天,血液學指標(白細胞、中性粒細胞、淋巴細胞、紅細胞、血紅蛋白、血小板)、肝腎功能(ALT、AST、BUN、肌酐)、血脂血糖(TG、TC、HDL、LDL、Glu)及炎癥因子IL-6均無顯著波動(圖4b-l,補充數據),證明治療未引發全身性炎癥或器官毒性。
長期安全性結論:在長達12個月的隨訪中,未報告任何過敏反應或不良事件,包括急性免疫反應或遲發性并發癥。綜合短期監測與長期追蹤結果,霧化hUCMSC-EVs在肺纖維化患者中展現出優異的安全性與耐受性,為后續療效研究奠定可靠基礎。
干細胞外囊泡治療肺纖維化的療效性結果
核心肺功能與生活質量的顯著改善:霧化hUCMSC-EVs治療顯著提升了患者的肺功能與生活質量。與生理鹽水對照組相比,治療組的用力肺活量(FVC)和最大自主通氣量(MVV)均明顯提高(圖5a-b),表明呼吸力學功能增強。

同時,圣喬治呼吸問卷(SGRQ)評分顯著降低,反映患者活動受限減少、病情恢復;萊斯特咳嗽問卷(LCQ)評分同步上升,證實咳嗽癥狀緩解與生活質量提升(圖5c-d)。這些關鍵指標的變化凸顯了該療法對肺纖維化核心癥狀的改善作用。
綜合療效驗證與整體獲益:研究進一步通過多維度指標評估整體療效,包括6分鐘步行距離(6MWD)、FEV?、DLCO(氣體交換功能)、ALT及mMRC(呼吸困難評分)等。通過對比治療前后各指標變化,將患者分為”好轉”與”未好轉”組,并采用加權方法量化獲益事件(好轉>未好轉計1分)。
分析顯示,綜合療效評分顯著偏向獲益(p=0.05)(圖5e),證實霧化hUCMSC-EVs作為附加療法能為患者提供協同增效的臨床收益。盡管部分肺功能指標未達統計差異,但均未出現惡化趨勢,進一步支持治療穩定性。
霧化hUCMSC-EVs治療肺纖維化影像學評估結果
群體影像學穩定性與個別顯著改善:通過分析患者治療第0、28、84天的高分辨率CT(HRCT)圖像,研究發現大多數患者肺部病變未呈現聚集性改善趨勢,符合常規治療的預期進展。然而,兩名患者(編號9和15)表現出顯著影像學改善:參與者9的左肺斑片狀陰影、毛玻璃密度及胸膜下模糊帶在28天減輕,84天基本消退(圖5f上排);參與者15的右下葉廣泛實變伴毛玻璃影在28天明顯吸收,84天僅殘留輕微網狀陰影(圖5f中排)。
療效驗證與臨床意義:上述改善與對照組18號患者的纖維化進展(圖5f下圖)形成鮮明對比,證實霧化hUCMSC-EVs可超越常規治療效果。盡管整體群體影像變化有限,但典型病例的實質性逆轉結合前期肺功能與生活質量提升數據,支持該療法能為部分肺纖維化患者提供額外臨床獲益,凸顯其潛在治療價值。
研究結論:霧化hUCMSC-EVs為肺纖維化提供安全有效的無細胞治療新路徑
肺纖維化的治療仍然是一項重大挑戰,因為這種疾病仍在出現,特別是在大流行感染的情況下。目前的臨床治療是采用多種策略管理疾病,以維持患者的良好狀態,而不會進展或加重。
在本研究中,我們報告使用霧化hUCMSC-EVs,它已成為一種有前途的無細胞療法途徑,作為治療肺纖維化患者的新策略。我們已經建立了一個全面的系統,以確保在生產的每個階段都符合良好生產規范(GMP)標準,并提出了4個關鍵質量控制點(CQCP)以保證質量。
我們的結果表明,霧化hUCMSC-EV治療是安全的,并且患者從治療中受益。總體而言,與僅接受常規治療的患者相比,接受霧化hUCMSC-EVs額外治療的患者獲得了顯著的益處。值得注意的是,兩名患有晚期炎癥后肺纖維化的患者在接受 hUCMSC-EVs治療后在連續CT掃描中表現出臨床顯著的消退。這些研究結果表明霧化hUCMSC-EVs可作為治療肺纖維化疾病的一種有前途的治療策略。
這為肺纖維化的治療開辟了新的途徑,也為肺纖維化患者未來更好的康復帶來了希望。
參考資料:[1]:Li, M., Huang, H., Wei, X. et al. Clinical investigation on nebulized human umbilical cord MSC-derived extracellular vesicles for pulmonary fibrosis treatment. Sig Transduct Target Ther 10, 179 (2025). https://doi.org/10.1038/s41392-025-02262-3
免責說明:本文僅用于傳播科普知識,分享行業觀點,不構成任何臨床診斷建議!杭吉干細胞所發布的信息不能替代醫生或藥劑師的專業建議。如有版權等疑問,請隨時聯系我。
掃碼添加官方微信