關鍵事實
- 多發性硬化癥 (MS) 是一種涉及保護神經的髓鞘層受損的疾病,阻止信號從大腦傳遞到身體。
- 大多數MS患者的癥狀會復發,隨后會出現恢復(緩解)期。
- MS可引起許多不同的癥狀,包括肌肉控制和視力障礙、疲倦、疼痛和思維改變。
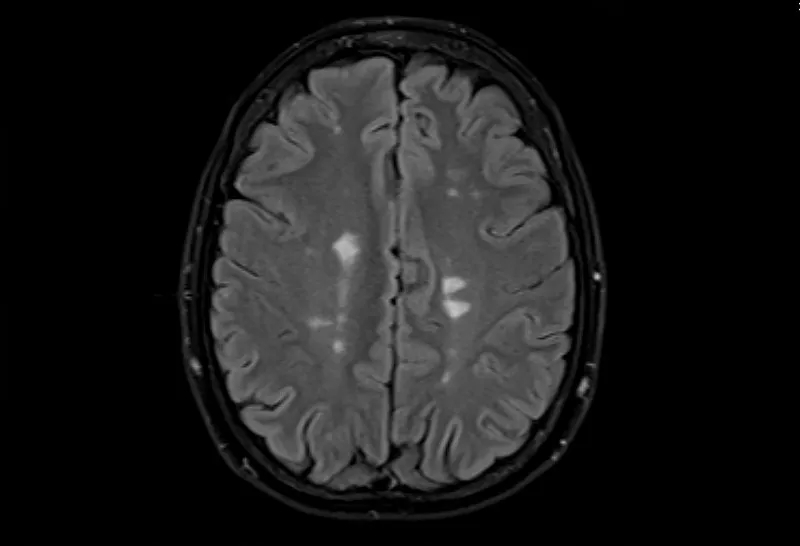
- 大腦的MRI掃描可以顯示損傷區域,但沒有單一的測試可以診斷MS。
- 許多治療可用于減少MS的復發和緩解癥狀。
在本頁
- 什么是多發性硬化癥 (MS)?
- 多發性硬化癥有哪些不同類型?
- 多發性硬化癥有哪些癥狀?
- 多發性硬化癥的病因是什么?
- 如何診斷多發性硬化癥?
- 如何治療多發性硬化癥?
什么是多發性硬化癥 (MS)?
多發性硬化癥 (MS) 是一種影響中樞神經系統的慢性疾病。您的神經細胞被稱為髓磷脂的層包圍。髓磷脂保護您的神經并幫助它們將信號從您的大腦快速發送到您身體的其他部位。
在MS中,您的免疫系統會攻擊髓磷脂層并對其造成損害。這會導致您的神經暴露并傷痕累累。結果,您的神經無法在您的身體周圍正確發送信號。
MS在女性中的發病率是女性的3倍,通常發病年齡在20至40歲之間。

多發性硬化癥有哪些不同類型?
有幾種常見的MS模式。
復發緩解型MS (RRMS)
這是最常見的MS形式。
在數天、數周甚至數月內出現新癥狀,或現有癥狀惡化。這被稱為復發。隨后是部分或完全恢復,稱為緩解。在RRMS中,這種模式繼續存在,先是復發,然后是緩解期。
原發性進展型多發性硬化癥 (PPMS)
每10名MS患者中約有1名被診斷患有PPMS。在這種類型中,癥狀從疾病開始逐漸惡化,沒有單獨的發作或緩解期。有時您的癥狀可能很穩定,不會變得更糟或更好。
二次進展型多發性硬化癥 (SPMS)
這是RRMS之后的后期階段。在這種情況下,經過多年的RRMS,您的癥狀會逐漸惡化,而且沒有緩解。
臨床孤立綜合征 (CIS)
這是您出現一次MS癥狀然后恢復的地方。發作持續數天或數周。
通常,您需要至少出現2次癥狀才能診斷為MS。許多CIS患者最終會出現更多發作并被診斷為MS。
多發性硬化癥有哪些癥狀?
MS的癥狀取決于中樞神經系統的哪一部分受到影響以及發生了多大程度的損害。
MS可能會導致無法控制您的身體,例如:
- 肌肉痙攣和僵硬
- 弱點
- 震顫(顫抖)
- 失去協調和平衡
- 說話和吞咽困難
視力問題很常見。您可能會注意到視力模糊或復視、盲點或顏色外觀發生變化。
其他常見癥狀包括:
- 疲倦
- 眩暈
- 不尋常的感覺——如針刺感、神經痛和對熱敏感
- 膀胱和腸道問題——例如尿失禁、腹瀉和便秘
- 性功能問題
- 記憶力、注意力或思維的變化
- 抑郁和焦慮
MS的癥狀因人而異。他們也可以在任何一個人中出入。MS是不可預測的。
MS的病因尚不清楚,但有幾個因素會使您更有可能患上MS。這些包括:
如何診斷多發性硬化癥?
您的醫生會將您轉介給神經科醫生。他們將對您進行檢查,以檢查您神經系統的不同部分是如何工作的。
測試的組合用于診斷MS。最好的測試是對您的大腦和脊髓進行核磁共振檢查,以檢測損傷區域。您可能還需要進行血液檢查、腰椎穿刺和測量神經活動的測試。
很難做出診斷,因為沒有針對MS的單一測試。如果有證據表明您的中樞神經系統的不同部位在不同時間受損,除了MS之外別無其他解釋,您將被診斷為MS。
如何治療多發性硬化癥?
目前尚無治愈 MS 的方法,但有一些治療方法可以提供幫助。最適合您的藥物取決于您所患 MS 的癥狀和類型。與您的神經科醫生討論適合您的治療組合。
如果您計劃懷孕,與您的神經科醫生交談尤為重要。他們可以與您討論您復發的可能性,并確保您的治療對您的寶寶是安全的。
疾病改善療法
疾病改善療法或免疫療法是針對您的免疫系統的藥物。它們使復發的頻率和嚴重程度降低,對髓鞘層的損傷也較小。
這些藥物通常用于復發緩解型MS患者。它們可以減緩或阻止RRMS發展為SPMS。但是,它們可能會產生明顯的副作用。
復發治療
類固醇藥物可減少中樞神經系統的炎癥。如果您的MS復發,它們可以減輕您的癥狀。
癥狀緩解
有藥物可以緩解MS的許多癥狀,例如肌肉僵硬、疼痛、膀胱或腸道問題、疲倦、抑郁和焦慮。
其他治療可能包括:
干細胞移植在多發性硬化癥上的應用
目前,應用到多發性硬化癥的治療及研究中的干細胞種類有間充質干細胞和造血干細胞。間充質干細胞作為一種多能干細胞,可以分化為神經細胞,以修復損傷,在治療多發性硬化癥方面顯示了初步的治療效果。
2012年,《柳葉刀·神經病學》上發表的一項研究顯示,自體間充質干細胞治療繼發性、進行性、多發性硬化癥是安全的,治療后患者視力得到改善,視神經面積增加。
2019年10月31日,蘇格蘭健康技術協會(The Scottish Health Technologies Group,SHTG)批準自體造血干細胞移植用于治療高度活躍的復發緩解型多發性硬化(RRMS),作為多發性硬化的一種新型治療方式。
目前,全球有多個干細胞治療多發性硬化癥的臨床研究正在進行中。
臨床數據證實:干細胞移植治療多發性硬化癥安全有效
近年來,不同研究結果顯示,自體干細胞移植能夠提高多發性硬化癥患者的生活質量,自體干細胞移植療法被認為是改善多發性硬化癥患者癥狀的新方法。
免責說明:本文僅用于傳播科普知識,分享行業觀點,不構成任何臨床診斷建議!杭吉干細胞所發布的信息不能替代醫生或藥劑師的專業建議。如有版權等疑問,請隨時聯系我。
掃碼添加官方微信